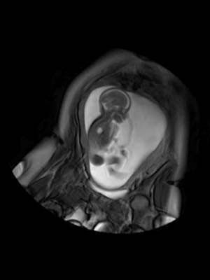
Cientistas britânicos deram início a um projeto de seis anos para mapear as conexões nervosas desenvolvidas no cérebro de um bebê ainda no útero e imediatamente após o nascimento. Assista à reportagem em vídeo (desabilite o bloqueador de pop-ups, caso necessário).
No momento em que um bebê respira pela primeira vez, muitas das principais ligações no cérebro já estarão feitas.
Cientistas acreditam que a forma como esta enorme rede de ligações se estabelece tem impacto no desenvolvimento de certos problemas como o autismo.
Pesquisadores do Guy"s and St Thomas" Hospital, do King"s College de Londres, do Imperial College e da Universidade de Oxford querem produzir um diagrama que mostre como o cérebro cresce, a um nível de detalhe que dizem ter sido impossível de se obter até agora.
Imagens do cérebro são cortesia do Centre for the Developing Brain, do King"s College de Londres.

Comentários