SC: menino engole caco de vidro encontrado em merenda escolar
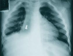
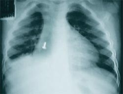
Um menino está internado em um hospital de Joinville, no norte de Santa Catarina, após comer um caco de vidro que estava em um pudim distribuído na merenda de uma escola estadual na cidade vizinha de São Francisco do Sul.
O caso ocorreu na tarde de segunda-feira em uma escola da rede estadual de ensino. O garoto, que não teve a identidade revelada, teria sentido algo "estranho" ao comer o pudim servido como merenda. Ele chegou a engolir um pedaço, mas entregou cacos de vidro à direção da escola.
Encaminhada ao Hospital Infantial Jeser Amarante, da cidade vizinha de Joinville, a criança não corre risco de vida. A equipe médica detectou a presença de um pequeno caco de vidro no organismo do menino e aguarda que o material seja expelido de forma natural.
A Secretaria Estadual de Educação e a direção da escola não se pronunciaram sobre o caso.

Comentários