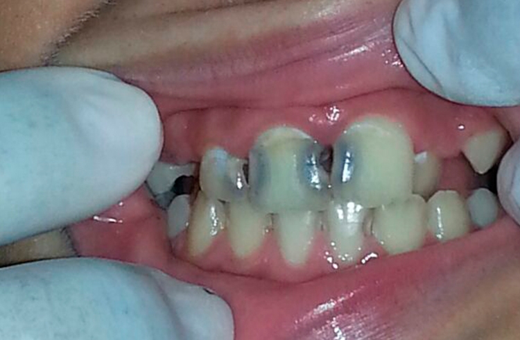
40 crianças passam por triagem odontológica em Denise e Arenápolis
Selecionar jovens entre 11 e 17 anos para receber tratamento odontológico gratuito. Esse foi o principal objetivo da Turma do Bem, através do projeto ‘Dentista do Bem’, que realizou na última terça-feira, dia 25, uma mega triagem odontológica realizada em mais de 270 municípios do Brasil e outros países, simultaneamente.
No Mato Grosso, a triagem foi realizada nas cidades de Denise e Arenápolis, através do trabalho coordenado pela Embaixadora da Turma do Bem 2013/2014, a dentista Rafaela Nazaré de Oliveira, oportunidade em que 40 crianças carentes foram triadas (22 alunos de Denise e 18 de Arenápolis) e receberão, a partir de agora, o acompanhamento do projeto.
“As crianças triadas receberão atendimento de acordo com o índice de prioridade. Os casos mais graves, os mais urgentes, aqueles com dor de dente e mais próximos do primeiro emprego terão prioridade no atendimento”, explicou a Embaixadora, ao destacar que todos esses alunos entram numa fila de espera, e conforme vai surgindo vaga, essas crianças vão sendo encaminhadas para os Dentistas do Bem cadastrados em cada município. “O dentista assume o tratamento da criança até que ela complete 18 anos”.
Ainda de acordo com Rafaela de Oliveira, apesar do projeto já ser desenvolvido por ela na região há mais de sete anos, na triagem foram encontrados alguns casos graves, de crianças com situação bucal precária. “Alguns pacientes precisam de atendimento de urgência e não tem condições de pagar por um tratamento odontológico. Infelizmente uma triste realidade”, desabafa.
“É para transformar esses sorrisos que existe a Turma do Bem. A esperança de muitos jovens de baixa renda são os anjos chamados Dentistas do Bem, que proporcionam tratamento odontológico totalmente gratuito. Esses jovens fazem todo nosso trabalho voluntário valer a pena”, finaliza, agradecendo ainda aos Dentistas do Bem da rede que coordena, sendo eles Witsner Benevides, Jandira Costa e Marximandro Perin, de Denise, e André Gustavo e Leide Daiane, de Arenápolis.

Comentários