Você sabe identificar um AVC? A ex-primeira-dama Marisa Letícia foi internada vítima de um AVC hemorrágico. Você sabe reconhecer os sintomas de um derrame?
Na terça-feira, a ex-primeira-dama Marisa Letícia foi internada no Hospital Sírio-Libanês, em São Paulo, vítima de um acidente vascular cerebral (AVC) hemorrágico ocasionado pelo rompimento de um aneurisma (dilatação anormal de um vaso sanguíneo). A mulher do ex-presidente Luiz Inácio Lula da Silva foi submetida a uma cirurgia para estancar o sangramento, mas ainda permanece na unidade de terapia intensiva (UTI) do hospital e não se sabe se haverá sequelas.
Caraterísticas do AVC
O derrame é a obstrução (AVC isquêmico) ou ruptura (AVC hemorrágico) das artérias que irrigam o cérebro. Entre os fatores de risco para o problema estão idade (pessoas com mais de 50 anos correm maior risco), hipertensão, insuficiência cardíaca, diabetes, tabagismo, colesterol alto e uso excessivo de bebidas alcoólicas.
Sintomas
Quanto mais rápido for o diagnóstico e início do tratamento de um derrame, menores as probabilidades de complicações, risco de morte e desenvolvimento das sequelas. O problema é que muitas vezes os sintomas passam despercebidos, porque as pessoas acham que é uma simples dor de cabeça, tontura ou náusea, sem identificar esses quadros como sinais de alerta do corpo. Outros sinais característicos de um AVC são perda de força em metade do corpo, fala arrastada, face torta e dor de cabeça súbita e muito intensa.
Diagnóstico
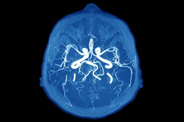
Os especialistas indicam alguns testes que podem ser feitos para ajudar a identificar o derrame: pedir à pessoa que sorria com força (observar simetria e possíveis desvios da face); pedir que levante os braços; que responda com frases simples a comandos de baixa complexidade. Caso se confirme a suspeita clínica de AVC, o paciente dever ser imediatamente submetido a uma tomografia computadorizada (TC) ou ressonância magnética (RM), que mostrarão se o AVC foi isquêmico ou hemorrágico. Esses exames são fundamentais para o diagnóstico do AVC na fase aguda e determinação do prognóstico e tratamento mais adequado.
AVC hemorrágico e aneurisma
Segundo Carlos Peixoto, presidente da Sociedade Brasileira de Angiologia e de Cirurgia Vascular do Rio de Janeiro (SBACV-RJ), o AVC sofrido por Marisa Letícia é menos frequente (corresponde a cerca de 20% dos casos), mas também mais grave, “podendo levar a risco de morte e, em caso de recuperação, grande possibilidade de gerar sequelas graves e debilitantes”. Em cerca de 40% dos casos, o rompimento de aneurismas cerebrais resultam em morte imediata.
O aneurisma cerebral é um problema genético e hereditário, caracterizado por uma fraqueza da parede do vaso sanguíneo que ocasiona uma dilatação anormal. Segundo Peixoto, no Brasil existem cerca de 2 milhões de casos por ano conhecidos de aneurisma cerebral. “O principal sintoma de um aneurisma é uma dor de cabeça frequente e que não cessa após a administração de analgésicos.” Mas, muitas vezes, o paciente não apresenta nenhum sintoma e o problema não é identificado. Daí a importância de filhos cujos pais tiveram um aneurisma detectado realizarem, a partir da puberdade, uma angiorressonância para verificar a existência – ou não – do problema.
De acordo com Peixoto, só há recomendação para intervir no aneurisma de um paciente sem queixa caso o aneurisma tenha mais de 5 milímetros de diâmetro. Se houver queixa em pacientes com aneurismas menores, é preciso analisar a situação do paciente e fazer um contraponto entre os riscos e benefícios do procedimento.
As opções disponíveis de tratamento seriam a cirurgia por clip ou a embolização por micromolas. Por outro lado, se não houver necessidade de intervenção, é importante que o paciente faça um acompanhamento anual da evolução do quadro por meio de uma angiorressonância.
Entre os fatores de risco para o rompimento de um aneurisma estão idade, hipertensão, tabagismo e stress. “A pressão alta também aumenta a pressão nas artérias do cérebro, o que propicia a ruptura. Por isso não é recomendado que quem tem aneurisma viaje de avião.”, explica Peixoto.
Se houve rompimento, as opções de tratamento são a cirurgia ou a embolização (caso da mulher do ex-presidente Luiz Inácio Lula da Silva). O procedimento escolhido dependerá da localização do aneurisma e do estado clínico do paciente. Os sintomas mais comuns de um AVC hemorrágico são dor de cabeça, desfalecimento, mal-estar, pressão baixa e falta de ar. As possíveis sequelas são alterações ou paralisação motora em um ou ambos os lados do corpo, alteração da fala, dificuldade visual e coma.
AVC isquêmico
Já o AVC isquêmico, quando há obstrução de alguma artéria que nutre um território cerebral, é mais comum e corresponde a cerca de 80% dos casos de derrame. Ele pode ocorrer devido a um “entupimento” crônico do vaso sanguíneo ou por desprendimento de uma placa ou fragmento (êmbolo) que pode se alojar em um local vascular mais distante.
Caso o AVC seja isquêmico, se o tempo decorrido do início dos sintomas ao diagnóstico for de até três horas, o paciente poderá ser selecionado para a trombólise, que consiste na desobstrução da artéria responsável pelo quadro .

Comentários