Noticias Saúde
Casos de chikungunya aumentam mais de 30% entre 2020 e 2021
Foram confirmadas 14 mortes pela doença por critério laboratorial e 27 permanecem em investigação. Seis ocorreram no estado de São Paulo. Pernambuco e Espírito Santo registraram dois óbitos em casa um.
Anvisa cancela autorização concedida a spray antiviral israelense
De acordo com a Anvisa, até o momento não foram apresentados estudos que comprovem a eficácia do produto israelense, fabricado pela empresa Nasuspharma.

Estado disponibiliza mais 10 leitos de UTI para tratamento da Covid-19 no Hospital Metropolitano
De acordo com o secretário Estadual de Saúde, Gilberto Figueiredo, a gestão estadual monitora as taxas de contaminação e ocupação hospitalar pela Covid-19 em Mato Grosso e trabalha medidas para serem implementadas conforme necessidade.
Pacientes transplantados sofrem com falta de remédios
O paciente afirma que é possível encontrar a medicação em redes maiores de farmácias, que tem a parte de alto custo, porém o valor é muito alto. Segundo ele, o valor da droga com o frete chega a R$ 4.032, além de demorar cerca de 10 dias para chegar.
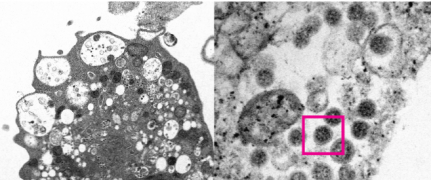
Covid-19: estudo aponta aumento de bactérias resistentes em UTIs
Essa foi a conclusão de um estudo realizado por profissionais da Pontifícia Universidade Católica do Paraná (PUCPR) e publicado no Journal of Hospital Infection, referência em artigos sobre epidemiologia e resistência antimicrobiana.

MT tem 374 mil crianças de 5 a 11 anos que começam a ser vacinadas com a 1ª remessa de doses
Oito em cada dez brasileiros (79%) apoiam a vacinação de crianças de 5 a 11 anos contra a Covid-19, aponta pesquisa Datafolha divulgada nesta segunda-feira (17). Outros 17% rejeitam a imunização para essa faixa etária.
Brasil recebe segunda remessa de vacina pediátrica da Pfizer
De acordo com o secretário executivo do Ministério da Saúde, Rodrigo Cruz, a remessa mais recente estava prevista para chegar ao país apenas em 20 de janeiro, mas foi antecipada. No próximo dia 27, está prevista a chegada de mais 1,8 milhão de doses.
MT repassa R$ 2,2 milhões para 13,2 mil cirurgias em 3 municípios
O secretário Estadual de Saúde, Gilberto Figueiredo, participou, nesta sexta-feira (14,01), da cerimônia de lançamento do programa nas respectivas cidades.
Mais de 300 profissionais de enfermagem de MT estão cumprindo quarentena
Um dos infectados nesta nova onda da doença é o enfermeiro Rodolfo Almeida, ele atua em Cuiabá e foi um dos aplicadores das vacinas contra Covid, o profissional disse que os enfermeiros atuam na linha de frente e estão vulneráveis. Segundo ele, apesar dos cuidados, acabam sendo infectados.
Em MT, 4 mortes e taxa de ocupação das UTIs passa de 80%
Nas últimas 24 horas foram notificadas 4 mortes e 2.992 novas confirmações de casos de coronavírus no Estado. Dos 575.014 casos confirmados da Covid-19 em Mato Grosso, 13.314 estão em isolamento domiciliar e 546.851 estão recuperados.
