Noticias Saúde
Mais de 1,4 mil pacientes com HIV abandonaram tratamento no Estado
De acordo com o Sistema de Informação de Agravos de Notificação (Sinan), entre os anos de 2022 e 2023, foram notificados 1.927 novos casos da infecção por HIV em Mato Grosso. Em relação à Aids, o sistema aponta 679 novos casos neste mesmo período.
Programa 'Fila Zero na Cirurgia' tem 240 mil procedimentos eletivos aprovados
Até o momento, 24 municípios e sete consórcios aderiram ao programa. Juntos, eles devem executar um total de 240.369 procedimentos eletivos, entre cirurgias, consultas e exames.
Conferência em Brasília discute política para a saúde mental
Organizada pelo CNS e promovida pelo Departamento de Saúde Mental, Álcool e outras Drogas do Ministério da Saúde, a conferência deve reunir cerca de 2 mil pessoas.
Pacientes de câncer com origem em HPV sofrem com atraso no atendimento
Esse tempo vai em sentido oposto ao da Lei 12.732/12, que garante o início do tratamento dentro desse prazo depois da constatação da doença. Segundo os pesquisadores, a demora indica falha no fluxo da rede de atendimento.
Meninas são mais afetadas por mudanças climáticas
Um estudo da Organização Não Governamental (ONG) Plan International em oito países, entre os quais o Brasil, revelou os efeitos das transformações do clima na vida de garotas menores de 18 anos de idade. 

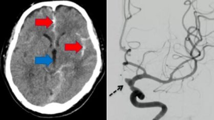
AVC pode matar mais de 6 milhões de pessoas neste ano, diz OMS
Rápida e perigosa, a doença pode atingir desde os idosos até os mais jovens, fato que mostra a necessidade de conscientização da população sobre os sintomas e a importância de buscar ajuda médica desde o aparecimento dos primeiros sinais.
Campanha alerta para riscos do glaucoma e importância da prevenção
A campanha da Sociedade Brasileira de Glaucoma (SBG) quer mostrar a importância dos exames preventivos com oftalmologista. 

Mato Grosso tem a 10ª maior taxa de detecção de aids do país
Entre 2012 e 2022, a taxa de detecção de aids apresentou queda (-3,8%) em Mato Grosso, passando de 21,3 para 20,5 casos para cada grupo de 100 mil habitantes.
Casos de sífilis e de HIV/aids aumentam entre homens jovens
Nesta faixa, o índice tem aumentado, chegando, em 2021, a 53,3% dos infectados de 25 a 29 anos. Os números da pasta também registram crescimento dos casos de sífilis em homens, mulheres e gestantes.

App que incentiva doação de sangue já pode ser baixado
A plataforma está integrada ao ConecteSUS e permite localizar a rede de saúde mais próxima e baixar a carteira do doador, onde consta o tipo sanguíneo e a data da última doação.

