Noticias Saúde
MT tem quatro vezes mais casos de chikungunya em 2018 em comparação com o ano passado
Já em relação à dengue, a redução foi de 23%. Os casos passaram de 8.366 no ano passado e 6.435, em 2018. Em cada um dos dois anos, foram registrados quatro óbitos pela doença.
Extrato da casca de jabuticaba combate pré-diabetes
Para elevar os danos do envelhecimento, os camundongos foram alimentados com ração rica em gordura para promover ganho de peso, aumentar a gordura no fígado, estimular o aumento de gordura no sangue e aumentar os níveis de glicose.
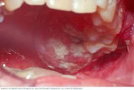
Câncer de boca deve atingir 14,7 mil novos casos no país este ano
De acordo com o ministério, a doença afeta os lábios e o interior da cavidade oral. Dentro da boca, devem ser observados gengivas, bochechas, céu da boca e língua (principalmente as bordas), além da região embaixo da língua.
Saiba o causador da próstata
Além do câncer, a próstata pode ser afetada por outras duas doenças: a prostatite (inflamação) e a hiperplasia (aumento) prostática benigna (HPB). Estas três enfermidades podem ser diagnosticadas com o exame de toque retal e a dosagem do PSA no sangue.
Pesquisa constata desinformação de médicos sobre homossexualidade
Ao final do experimento, constatou-se que os participantes acertaram, em média, apenas 11,8 dos itens (65,5% das 18 respostas dadas). Alguns deles atingiram somente dois acertos.
Nutricionista fala sobre a importância do consumo das frutas para o organismo
As frutas são fundamentais pois contemplam de vitaminas, minerais, agua, fibras alimentares e compostos protetores como antioxidantes que protegem e que regulam o organismo.
Automedicação, uma mania do brasileiro
Para o cardiologista Marcos Vinícius Gaz, do Hospital Israelita Albert Einstein, o fácil acesso é uma das razões para o uso indiscriminado de remédios no Brasil.
Risco de anomalias em bebes com dengue
Ainda se sabe pouco sobre a relação entre dengue e anomalias fetais. Até agora, esse era um problema tido como limitado à infecção pelo zika.
Em MT, campanha 'Outubro Rosa' será lançada neste domingo no Parque das Águas
Ao longo do mês, a Associação de Apoio a Pessoas em Tratamento e Pós-Tratamento do Câncer de Mama de Mato Grosso (Mtmamma) realiza várias atividades envolvendo o tema.
Campanha Outubro Rosa terá início neste domingo; abertura será no Parque das Águas
A abertura oficial da Campanha Outubro Rosa 2018, vai ser realizada no domingo, 30 de setembro às 19h, no Parque das Águas, em Cuiabá, com a apresentação do Sexteto de Metais da Orquestra Sinfônica da Universidade Federal de Mato Grosso (UFMT).
